Composite Fillings-Lawrenceville
Composite Fillings
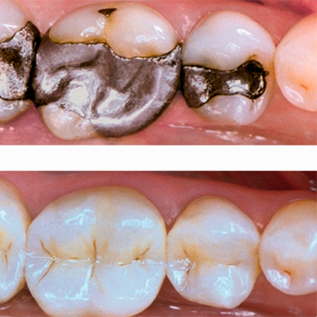
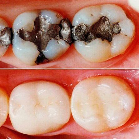
Revitalize your smile by transitioning to composite fillings, a dental restoration that significantly enhances aesthetics. With their ability to closely mimic the natural color of your teeth, composite fillings are visually appealing and eliminate the disruption of unsightly metal or mercury fillings. They offer an incredible advantage of blending effortlessly with your existing teeth, ensuring a seamless, radiant smile that exudes confidence.
Moreover, composite fillings hold a distinct edge over traditional mercury fillings. They are mercury-free, making them a healthier choice, and they bond directly to your tooth, providing added support to the tooth structure. This bonding process also ensures a more comfortable, natural feel compared to mercury fillings.




