Tissue Grafting
Tissue Grafting
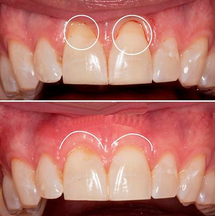
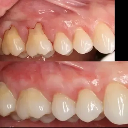
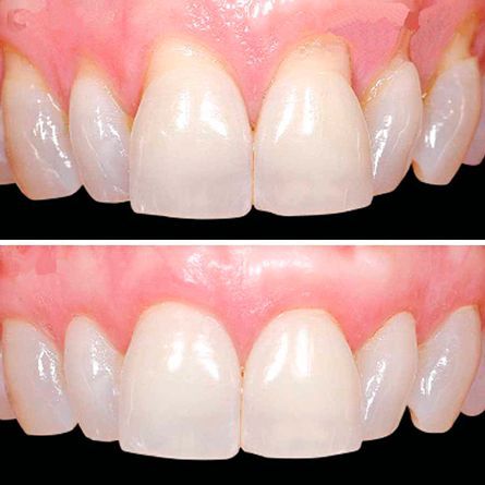
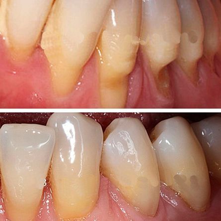
Tissue grafting is a broad name for several periodontal procedures with the main goal of improving existing gum structure. There are multiple techniques dentists can use when tissue grafting is to be performed. At Deluxe Dentistry, our primary focus is on improving recessed gums around the teeth and to enhance tissue quantity and quality around future or existing implants.

Reviews from our Patients
★★★★★
EXCELLENT
Based on 468 reviews
Creating & Maintaining One Healthy Smile at a Time
We want to exceed your expectations in every way, and we’re much more than an office that looks stunning and technology with all the bells and whistles. Dr. Maxim Godko and the Deluxe Dentistry team work in harmony to bring you top-notch dentistry with compassion, caring, and a watchful eye on your overall health. Above all else, we never want you to forget how important you are!



