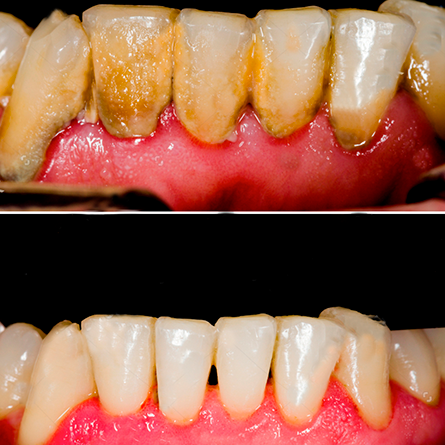
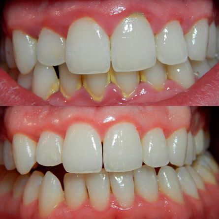
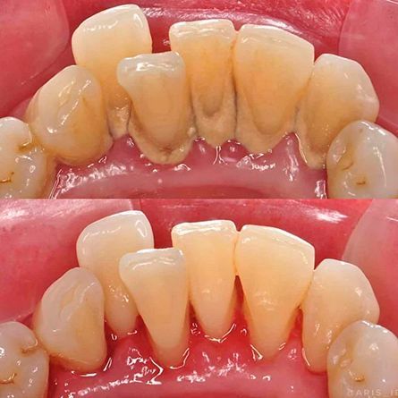
Scaling & Root Planing
Scaling & Root Planing
According to the Journal of Periodontology, more than 35% of the population over 30 years of age has some sort of gum and or bone disease. As the disease progresses, the stability of teeth begins to be compromised, and at advanced disease stage, tooth loss is unavoidable.
At Deluxe Dentistry we would like to help you to keep your teeth for as long as possible, especially if you have already started to show signs of periodontal disease. In order to improve your oral health and prolong the life of your teeth, deep cleanings and frequent professional maintenance visits are a must.

Why do I need a deep cleaning?
Gum disease is caused by a sticky film of bacteria called plaque. Plaque is always forming on your teeth, but if teeth aren’t cleaned well, the bacteria in plaque can lead to problems. Lots of plaque under the gums often leads to an inflammatory body response. Your body’s response is to release special blood cells to fight the bacteria and cause inflammation. Some individuals, based on several risk factors, are more prone to this inflammation, the formation of pockets, and loss of supporting bone and gum attachment. The more attachment is lost, the bigger pockets tend to form.
Pockets harbor bacteria that will lead to repetition of the process until the support of the tooth or teeth is completely destroyed. In order to intervene and stop the process, the primary focus of periodontal treatment is concentrated on effective and frequent plaque removal from underneath the gums. Removal of plaque from the deep pockets is not effective with regular brushing and/or regular cleaning. In order to remove plaque effectively from the deep pockets and to reduce the pocket size, deep cleaning is necessary. At Deluxe Dentistry, deep cleaning is done with the use of local anesthesia in to ensure your comfort during the procedure.
Reviews from our Patients
★★★★★



