Full Mouth Reconstruction
Full Mouth Reconstruction
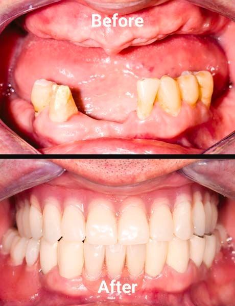
Full mouth reconstruction is often a combination of different treatments, such as prosthodontics and restorative dentistry, with the goal of rebuilding and/or replacing all of your teeth. Full mouth reconstruction often requires implant surgery for optimal results.
Full mouth reconstruction may be indicated for individuals with severely worn teeth, individuals suffering with periodontal disease, and individuals with extensive loss of existing teeth structure due to decay. Some individuals desire a cosmetic full mouth rehab in order to improve their aesthetic appearance.
Dr. Godko’s unique combination of talent in surgery and in restorative and cosmetic dentistry will allow you to obtain an optimal result without the need to travel in between multiple specialists. Full mouth reconstruction can be tricky and confusing. If you think your mouth is not as healthy as it used to be, address your concerns with us at Deluxe Dentistry of Lawrenceville so we can guide, plan, and execute an ideal reconstructive treatment, whether it’s functional, cosmetic, or a combination of both.


