Emergency Dentist Pennington NJ
Our Emergency Dentist is Available Now for All Urgent, Emergency Dental Care at Our Pennington, NJ Area Location.
Call: 609-400-1393 or Schedule Online to Be Seen Now!
Emergency Dentist Services:
- Immediate Pain Relief
- Toothaches
- Tooth Extractions
- Dental Infections
- Knocked-Out Tooth
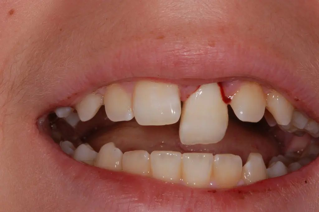
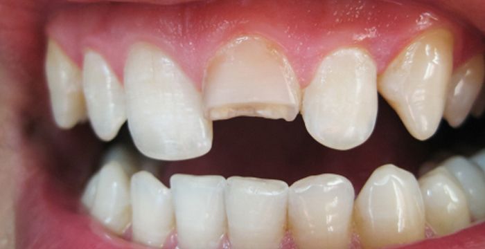
- Broken or Chipped Teeth
- Chipped or Broken Veneers
- Dental Implant Issues
- Loose or Lost Crowns, Fillings or Bridges
- Denture Repair and More
Not only Do We Treat any Dental Emergency, With In-House General, Cosmetic, Implant & Sedation Dentists, We Can Both Treat and Restore Your Smile All Under One Roof at the Best Possible Cost.
Don't Overpay for an Emergency Dentist! Call (609) 400-1393 Now or Schedule Your Appointment Online for an Immediate Evaluation of Your Dental Emergency at Our Lawrenceville, NJ Location.
What Should I Do Prior To Seeing an Emergency Dentist?
Will Dental Insurance Cover Seeing an Emergency Dentist?
Dental insurance coverage for dental emergencies can vary depending on the specific insurance plan and its terms and conditions. In general, dental insurance plans typically provide coverage for emergency dental treatment. However, it's important to review your insurance policy or contact your insurance provider directly to understand the specifics of your coverage.
Emergency Dentist Insurance and Payment Options:
- Dental Insurance: Most Plans provide coverage for emergency dental treatment, which may include treatments such as treating a toothache, addressing a broken tooth, or managing a dental infection. However, the extent of coverage and the reimbursement amount can vary.
- Co-Payments and Deductibles: Dental insurance plans often require co-payments and deductibles. These are the amounts you are responsible for paying out-of-pocket for dental treatments, including emergency care. It's important to understand your co-payment and deductible amounts to anticipate your financial responsibilities.
- Exclusions and Limitations: Dental insurance plans may have specific exclusions or limitations for certain emergency dental treatments. It's crucial to carefully review your policy to understand any treatment-specific limitations or exclusions.
To get accurate information about your dental insurance coverage for dental emergencies, it is best to contact your insurance provider directly. They will be able to explain the specifics of your plan, including coverage, network restrictions, and any out-of-pocket costs you may incur.
Deluxe Dentistry accepts most Insurance, Cash, Credit Payment as well as Financing Options for All Urgent Emergency Dental Care.
Remember, in a Dental Emergency, Time is of The Essence.
Do Not Delay. The Sooner You See Our Emergency Dentist, The Better the Outcome!
Deluxe Dentistry is Located in the Pennington, NJ Area Where You Are Just Minutes Away from Emergency Dental Care!
Come See Our Pennington Emergency Dentist Now for an Immediate, Same Day Urgent Dental Care Evaluation.
Contact Us Now for a Same Day Emergency Dentist Evaluation at Our Pennington, NJ Area Location.
Emergency-Dentist-Website-Contact
Deluxe Dentistry-Immediate, Same Day Emergency Dental Care by Our Pennington NJ Area Emergency Dentist.
Deluxe Dentistry is Pennington New Jersey's #1 Emergency Dentist Source for All Emergency Dental Care. Our Emergency Dentists treats anything from a Knocked-Out Tooth, Broke or Chipped Tooth, Lost Fillings, Crowns, Bridges, Tooth Extractions, Dental Trauma, Dental Infections, Denture Repair and more. If you're in need of Emergency Dental care, Deluxe Dentistry is your trusted Pennington, NJ Dentist offering Same Day, Immediate Appointments for all your Urgent Dental care needs.
Deluxe Dentistry is located in the Pennington, NJ Area. We are convenient to all Mercer County, New Jersey areas including Lawrenceville, East Windsor Township including the towns of Allens Station, Eiler Corner, Etra, Hickory Corner, Locust Corner, Millstone, Twin River. Ewing Township including the towns of Altura, Braeburn Heights, Briarcrest, Briarwood, Churchill Green, Ewing, Ewing Park, Ewingville, Fernwood, Ferry Road Manor, Fleetwood Village, Glendale, Green Curve Heights, Hampton Hills, Heath Manor, Hickory Hill Estates, Hillwood Lakes, Hillwood Manor, Mountainview, Parkway Village, Prospect Heights, Prospect Park, Scudders Falls, Shabakunk Hills, Sherbrooke Manor, Somerset, Spring Meadows, Village on the Green, Weber Park, West Trenton, Wilburtha, Wynnewood Manor Hamilton Township including the towns of Briar Manor, Broad Street Park, Chewalla Park, Creston, Deutzville, Duck Island, East Trenton Heights, Edgebrook, Extonville, Golden Crest,Haines Corner, Hamilton Square, Hutchinson Mills, Lakeside Park, Maple Shade, Mercerville, North Crosswicks, Nottingham, Pond Run, Quaker Bridge, Quaker Gardens, Rosemont, The Orchards, Trenton Gardens, Warner Village, Yardville Heights, Hightstown borough, Hopewell borough, Hopewell Township including the towns of Akers Corner, Baldwins Corner, Bear Tavern, Centerville, Coopers Corner, Glenmoore, Harbourton, Harts Corner, Marshalls Corner, Moore, Mount Rose, Pleasant Valley, Stoutsburg, Titusville, Washington Crossing, Woodsville, Lawrence Township including the towns Bakersville, Clarksville, Colonial Lakelands, Coxs Corner, Eldridge Park, Franklin Corner, Harney’s Corner, Lawrence Station, Lawrenceville, Lewisville, Port Mercer, Princessville, Quaker Bridge, Rosedale, Slackwood, Sturwood Hamlet, Pennington borough, Princeton borough, Cedar Grove, Port Mercer, Princeton North, Robbinsville Township, Allens Station, Carsons Mills, Hillside Terrace, Meadows Terrace, New Canton, New Sharon, Pages Corners, Robbinsville, Windsor, Trenton, Battle Monument, Berkeley Square, Cadwalader Heights, Central West, Chambersburg, Chestnut Park, Coulport/North Clinton, Downtown Trenton, Duck Island, East Trenton, Ewing, Franklin Park, Glen Afton, Greenwood, Hamilton, Hanover/Academy, Hillcrest, Hiltonia, Lamberton, North Trenton, Parkside, Pennington/Prospect, South Trenton, Stuyvesant/Prospect, The Island, Top Road, Villa Park, West End, Wilbur, West Windsor Township, Berrien City, Clarksville, Dutch Neck, Edinburg, Edinburg Park, Golf View Manor, Grover’s Mill, Old Mill Farms, Penns Neck, Port Mercer, Post Corner, Princeton Colonial Park, Princeton Estates, Princeton Ivy East, Princeton Junction and Sherbrook Estates.








