Fastbraces in Lawrenceville, NJ
Get the Smile You Want
in Months, Not Years
Book a Consultation
Serving Lawrenceville & Mercer County with faster, more comfortable braces
What Are FASTBRACES® in Lawrenceville?

At Deluxe Dentistry in Lawrenceville, New Jersey, we offer Fastbraces—a modern orthodontic solution designed to straighten teeth significantly faster than traditional braces. Often in just 3 to 12 months, their innovative triangular bracket and wire system moves both the root and crown of each tooth simultaneously, eliminating the slower, two-step process required with conventional braces.


Faster than Traditional Braces
Fastbraces® are a modern breakthrough in orthodontics, designed to straighten teeth faster and more comfortably than traditional braces. While traditional braces have been around for over 100 years, our Lawrenceville practice uses Fastbraces® advanced technology to give you the same great results in a fraction of the time—perfect for busy families in Mercer County.



State-of-the-Art Technology in Lawrenceville
Fastbraces® uses a unique patented triangular bracket and a special wire that works with your body's natural process. Instead of moving the top of the tooth first and the root later (like traditional braces), Fastbraces® gently moves both at the same time —just like how your teeth naturally came in when you were younger. Our Lawrenceville, NJ office is proud to offer this cutting-edge treatment to patients throughout Mercer County.
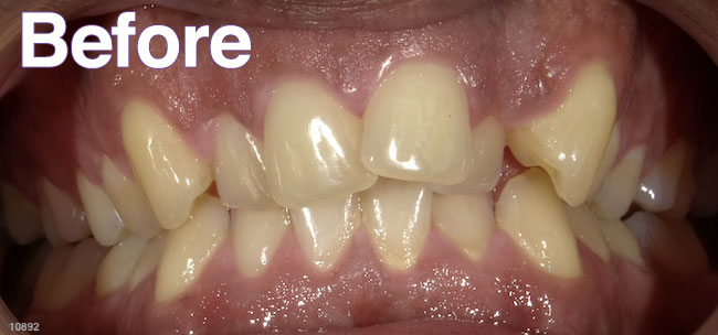
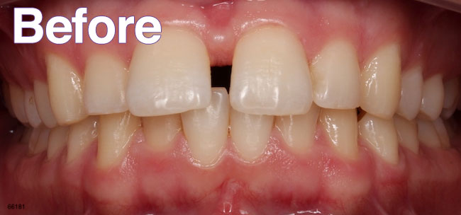
Lawrenceville Patient Transformations with FASTBRACES®












"Imagine waking up in Lawrenceville, smiling in the mirror, and feeling unstoppable.
Wondering why you didn't straighten your teeth sooner."
FAQ: FASTBRACES® in Lawrenceville, NJ
No, they actually cost less! At our Lawrenceville practice, traditional braces often run between $5,000–$9,000, while Fastbraces typically range between $3,499–$7,499. We serve patients throughout Mercer County with affordable payment options.
Fastbraces work much faster than traditional braces and any clear aligners. Most of our Lawrenceville patients complete treatment in as quick as 100-150 days —that's just 3-5 months compared to 2-3 years with traditional braces!
Yes! Fastbraces® can straighten even the most difficult cases—something many clear aligners aren't able to do. Our Lawrenceville dentists are experienced in treating complex orthodontic issues with Fastbraces technology.
No! One of the great benefits of Fastbraces is that tooth extractions are most often not needed. If a case requires pulling teeth, it may not be suited for this system. We'll evaluate your specific situation during your consultation at our Lawrenceville office.
Not at all. The advanced design actually makes them more comfortable than traditional braces. You'll experience less pressure and more stability throughout the process—something our Lawrenceville patients love about Fastbraces.
A discreet, fixed retainer wire is placed behind your front teeth, so you won't see it or feel it while talking. Wired retainers are always included in our Fastbraces price at our Lawrenceville practice.
Benefits:
- You don't have to remove it when eating
- You can't lose it or forget to wear it
- No awkward trays or nighttime retainers to worry about
- It's one less thing to think about—your smile stays straight without the hassle.
FASTBRACES® in Lawrenceville: Your Natural Smile, Fast-Tracked
Serving Lawrenceville, Princeton, Trenton & all of Mercer County, NJ
Get a perfect smile in months, not years—comfortably and quickly.
Ready to Transform Your Smile?
Book Your Appointment Call Us Today